八旬老翁心跳每分鐘32下險猝死 奇美醫院運用生理性心臟節律器成功救治

奇美醫療財團法人奇美醫院心臟血管內科主治醫師黃沛頡表示,針對日益增加的節律器需求,奇美醫院2025年引進心房型「巴赫曼氏束」生理性傳導技術,提供全方位的生理性節律
84歲老翁,有高血壓以及糖尿病病史,過去曾發生不明原因昏厥。此次因為持續性頭暈且合併胸悶至奇美醫療財團法人奇美醫院心臟血管內科主治醫師黃沛頡門診就醫,黃醫師檢查後發現有高度心臟房室傳導阻滯,且心跳只有每分鐘32下,隨時有猝死風險。所幸在黃醫師建議下,接受生理性傳導技術的心臟節律器置放,老翁的心臟重新恢復規律跳動,目前順利回歸日常生活,不再受昏厥與胸悶困擾。

生理性傳導技術因需精準定位,手術時間會比傳統手術多出0.5至1.5小時,且須視病人解剖構造決定能否施作,但在適合的條件下,可大幅提升治療品質
許多民眾提到「心律不整」,第一個想到的往往是心跳過快,但其實心跳過慢同樣不能忽視。奇美醫療財團法人奇美醫院心臟血管內科主治醫師黃沛頡表示,當心臟電傳導系統出現異常,導致心搏過緩,嚴重時可能引發昏厥,甚至致命性心律不整。因應臺灣心搏過緩病人逐年增加,奇美醫院不僅成熟運用傳統節律器手術,更自2025年起引進心房型「巴赫曼氏束」生理性傳導技術,接軌國際趨勢。這項新科技透過精密的定位,增進電氣傳導協調性,有效降低心房顫動復發風險,為全臺心律不整病人帶來更精準的治療。

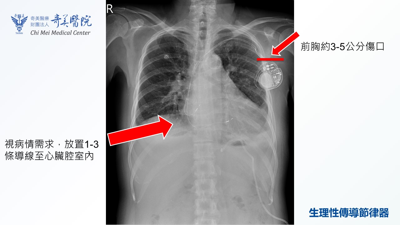
生理性傳導技術透過「希氏束」、「左束支」及「巴赫曼氏束」進行精準起搏,能夠提供病人更加天然、自然的節律
心臟有著極為精密的節律調控系統,起自右心房竇房結,經過巴赫曼氏束至左心房,以及透過結間路徑到房室結;再由房室結接續訊號傳遞,交棒給希氏束、左右束支以及普金耶氏束直到左右心室,方完成一次有效的心臟收縮。簡而言之,竇房結就如同「開關」,而心室則是「電燈」,中間則有著許許多多的「電線」。整個心臟傳導只要其中一個環節出現異常,就有可能出現傳導阻滯,導致心搏過緩,這個電燈就「不亮了」。
奇美醫療財團法人奇美醫院心臟血管內科主治醫師黃沛頡說明,一般來說,心跳若是每分鐘低於60下稱做心搏過緩,若低於50下甚至40下,可能出現頭暈、虛弱無力或是胸悶的症狀,甚至覺得「心臟好像暫停了一下」。若不即時就醫,嚴重心搏過緩也有可能誘發致命性心律不整,導致猝死,風險不容小覷。
黃沛頡指出,體內心臟節律器置放至今已有接近70年之歷史,安全性與成效皆相當成熟。近十多年來,因科學及技術的進步,醫學界更研發出了「生理性傳導」技術。不同於傳統節律器,有時會因心室收縮不同步,進而引發「節律器引起之心衰竭」;生理性傳導技術透過「希氏束」、「左束支」及「巴赫曼氏束」進行精準起搏,能夠提供病人更加天然、自然的節律。多項臨床研究證實,這種方式能減緩心臟功能下降、減少心房顫動復發,對於特定病人甚至能改善心臟衰竭症狀。
黃沛頡進一步說明,根據統計,臺灣約二十年前每年有2,000至4,000名病人接受心臟節律器置放。近年來,每年需要心臟節律器的病人數量逐漸增加到約7,500人。針對日益增加的節律器需求,奇美醫院近年在「心室型生理性傳導」技術已累積成熟經驗。2025年更進一步引進心房型「巴赫曼氏束」生理性傳導技術,提供全方位的生理性節律。雖然生理性傳導技術因需精準定位,手術時間會比傳統手術多出0.5至1.5小時,且須視病人解剖構造決定能否施作,但在適合的條件下,可大幅提升治療品質。
黃沛頡呼籲,民眾若有頭暈、莫名虛弱或心跳停頓感,應儘速尋求心臟科醫師諮詢。透過完整的病史詢問,理學檢查以及相關的檢驗與十二導程心電圖、心臟超音波以及霍特氏24小時心電圖等檢查,抽絲剝繭仔細釐清病因。醫師將會根據病因以及嚴重程度,詳細解釋可以選擇的治療方式,共同完成醫病醫療決策(SDM)。